Suivez-nous Suivez l’actualité de la contactologie sur Twitter! Devenez fan sur Facebook ! Suivez notre actu

  News  

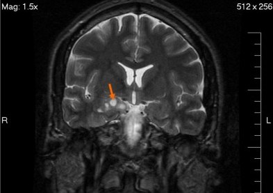
Une tumeur au cerveau dépistée grâce à une optométriste

26.11.2013
Une tumeur au cerveau dépistée grâce à une optométriste

Un examen des yeux chez un optométriste (dans les pays ou la profession est réglementée, en France chez un ophtalmologiste) peut non seulement sauver la vue, mais aussi la vie ! En effet, c’est grâce à un examen des yeux chez une optométriste qu’une fillette britannique de 12 ans a pu guérir d’une tumeur au cerveau. La jeune Lucy se plaignait de sensations de fatigue et de soucis d’équilibre depuis plusieurs mois.  Ce n’est que lorsque sa vision a commencé à devenir trouble que la tumeur causant à Lucy ces symptômes a été décelée par l’optométriste qui a décelé une tache anormale sur la rétine. Elle a immédiatement recommandé de se rendre à l’hôpital pour des examens médicaux plus approfondis.

Un scanner effectué à l’hôpital de Coventry a révélé la gravité de la tumeur puis Lucy a été emmenée d’urgence à l’hôpital pour enfants de Birmingham. L’opération pour retirer la tumeur s’est bien déroulée : la jeune fille n’est encore complètement hors de danger mais les risques sont déjà bien plus bas depuis cette intervention.  Il ne reste plus quà souhaiter à Lucy une prompte guérison !

 

Articles les + lus